Un homme en Floride a contracté une forme très rare d’infection parasitaire due à la présence de larves d’un parasite intermédiaire, le ténia, dans son cerveau. Les médecins estiment que la cause la plus probable a été la consommation de viande de porc insuffisamment cuite et contaminée. Les symptômes de cette infection comprennent des maux de tête, de la confusion et d’autres symptômes neurologiques, qui peuvent être très graves dans les cas extrêmes.

Un homme de 52 ans en Floride, aux États-Unis, est devenu un cas d’étude après avoir été diagnostiqué d’une infection parasitaire assez rare : la neurocysticercose. Il s’agit d’une maladie étroitement liée à la consommation de porc, causée par une infection par les larves du ténia du porc (Taenia solium) qui se forment en kystes dans le cerveau.
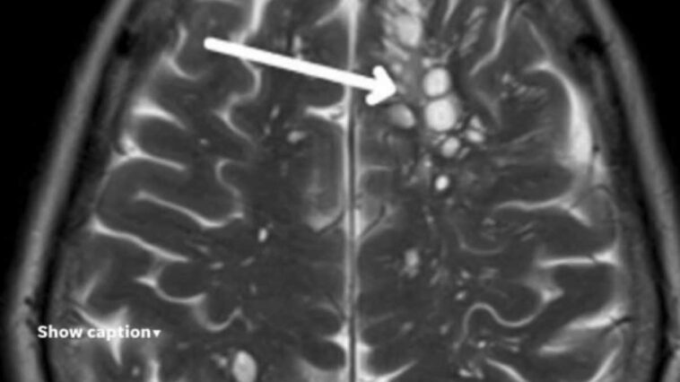
Lorsque le patient de 52 ans s’est rendu à l’hôpital, il n’avait aucune idée de ce qui pouvait lui causer ces maux de tête persistants depuis des semaines. Bien qu’il souffrait de migraines, le patient avait constaté une détérioration importante au cours des quatre derniers mois. En tentant de poser un diagnostic, les médecins ont conclu qu’un seul détail était pertinent pour expliquer l’état du patient : l’habitude de manger du lard peu cuit. C’est ainsi qu’est née la suspicion d’une infection due au ténia du porc.
Qu’est-ce que la neurocysticercose ?
Comme le mentionne une étude publiée dans l’American Journal of Case Reports, le fait de préférer du lard tendre aurait pu amener le patient à consommer de la viande peu cuite. Cela aurait pu le mettre en danger de développer la téniose, mais pas la neurocysticercose qui est une forme spécifique de cysticercose. Les deux sont en effet causées par le ténia, mais les voies de contamination et les symptômes diffèrent.
La téniose est une forme d’infection intestinale qui se produit lors de la consommation de viande de porc peu cuite contaminée par des œufs de ténia, tandis que la cysticercose est contractée lorsque des œufs présents dans les selles humaines de personnes ayant contracté la téniose sont ingérés. Cette dernière forme d’infection est presque toujours asymptomatique, à moins que les larves – appelées « cysticerques » – n’envahissent le système nerveux central, provoquant la neurocysticercose. C’est le cas du patient de 52 ans. Lorsque cette complication se produit, les personnes peuvent développer plusieurs symptômes tels que des maux de tête, parfois très intenses, des convulsions, de la confusion et d’autres symptômes neurologiques, qui peuvent être graves dans les cas extrêmes, comme l’explique le Manuel MSD.
Comment se produit l’infection ?
Dans le cas spécifique du patient américain, les auteurs de l’étude expliquent qu’il ne peut y avoir que des hypothèses sur la façon dont l’homme a contracté la neurocysticercose, mais celle qui semble la plus plausible est un cas « d’auto-infection » : après avoir contracté la téniose, l’homme aurait pu ingérer les œufs de manière indirecte. Dans tous les cas, la cause déclenchante à l’origine de tout cela aurait probablement été la consommation de viande de porc contaminée et peu cuite.
Le parasite responsable de ces infections, le ténia, utilise les porcs comme hôtes intermédiaires avant d’atteindre l’intestin humain par l’ingestion d’eau ou de nourriture contaminée par les œufs du parasite. En général, un facteur de risque est la consommation de viande de porc crue ou peu cuite contenant des kystes de larves. C’est pourquoi il existe un lien très fort entre cette forme d’infection et la consommation de viande de porc, tant et si bien que – comme le soulignent les auteurs de l’étude – dans les pays où cela est interdit, la neurocysticercose est pratiquement inexistante.
